Introducción
Hace poco, estando en el Pacífico colombiano, tuve una “revelación” sobre el propósito de este texto. Allí, donde el mar se une con la selva y la selva se derrama en el mar, entre la exuberancia de la naturaleza y tantos verdes que no sabría ni nombrarlos, entendí por qué había escrito este libro y por qué había entregado el manuscrito desde mayo de 2021, pero el libro no había sido publicado. Faltaba este párrafo. No se asusten, no soy esotérica. La revelación no fue más que una mirada holística de los caminos recorridos hasta este momento de mi vida. Fue cerrar el círculo y entender que enseñar lo que van a aprender los lectores en estas páginas tiene total coherencia con el bienestar del individuo, la sociedad y el planeta. Elegí comunicarlo. Elegí conectarme con las personas, pues entendí que mi propósito de vida está alineado con sacudirme, sacudirnos, hacer un alto en el camino y replantear cómo estamos viviendo y habitando nuestra Tierra… Vale la pena intentarlo.
Estudié neurorradiología y llevo diez años evaluando miles de cerebros en resonancias magnéticas, un método de imagen que aún hoy, después de intentar entender la física e ingeniería que hay detrás de él, considero casi ciencia ficción. Para los que no saben en qué consiste, el fin de dicho procedimiento es poder ver al cuerpo humano por dentro, lo que se representa en hermosas imágenes en escala de grises. Una resonancia se realiza en un imán gigante, que tiene aproximadamente 50.000 veces el campo magnético de la Tierra. Funciona con pulsos de radiofrecuencia que “despelucan los electrones de nuestros átomos” y ellos, al “enderezarse”, vuelven y mandan una señal, que es procesada y enviada al “espacio K” (así se le llama al lugar donde se procesa esta información), en el cual, por medio de procesos muy complejos, las señales de los diferentes tejidos son reconstruidas en imágenes, y estas maravillosas tajaditas de personas por dentro se montan en un programa para que médicos radiólogos como yo las podamos interpretar como secuencias que parecen videos.
Siento que es un privilegio poder observar cada resonancia que me abre una ventana a la parte física de ese órgano misterioso, nuestro cerebro. Pero para entender todo lo otro que representa nuestra torre de control, no solo sirven las resonancias, aunque sí nos permiten ver —sí: ver— las consecuencias de muchas de las costumbres, hábitos, eventos y enfermedades que de una u otra manera atacan el cerebro. Y el problema es que cuando se ven, cuando el cerebro físico ya está aporreado (o flaco, como entenderán más adelante) es porque llevamos muchos años haciéndole daño.
Así como hay personas que envejecen por fuera más rápido que otras, también envejecemos por dentro a diferentes velocidades. Todos vamos a envejecer, sí, claro, ¡pero lo increíble es que podemos controlar la velocidad a la cual lo hacemos! ¿Suena a mentira? Pues no lo es. Les puedo demostrar con imágenes que no solo controlamos por medio de nuestros hábitos qué tan rápido envejece nuestro cerebro (o sea, qué tan rápido se vuelve flaco), sino también que podemos recuperar a un cerebro enfermo, al menos durante mucho tiempo, antes de llegar al punto de quiebre de un deterioro irreversible, luego del cual todo se va en caída libre.
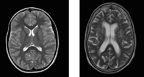
Imágenes de resonancia magnética: cerebro de una persona joven vs cerebro de una persona mayor con malos hábitos

Izquierda: corte axial (o sea como la tajada de un banano) del cerebro de un paciente de 35 años sin daño en su sustancia blanca. Derecha: corte axial del cerebro de un paciente de 70 años con muchas manchitas blancas en la sustancia blanca, como consecuencia del daño vascular prolongado, lo que se conoce como microangiopatía; también el volumen cerebral ha disminuido, o sea que ha perdido miles de neuronas.
No hay mucho que podamos remediar cuando ya se establece una enfermedad neurodegenerativa, pues estas se relacionan con el deterioro del sistema nervioso, y aun con los avances científicos actuales es imposible recuperar las facultades perdidas; sin embargo, sí podemos retardar su curso o, incluso, detenerlo. Todos hemos oído mencionar estos padecimientos y, con seguridad, los tendremos cada vez más cerca. Si quieren una cifra espeluznante, alrededor de 50 millones de personas en el mundo padecen de demencia, con un aumento de 10 millones de casos por año, y el alzhéimer es la principal forma de demencia. Durante las últimas décadas, en las sociedades más desarrolladas, ha habido un aumento hasta del 50 % en su prevalencia (recuerden esto de: sociedades más desarrolladas pues tendrá mucho que ver con lo que aprendan en este texto). Les cuento que para el 2050, habrá entre 115 y 152 millones de personas con demencia.
Seguro que algunos también han leído por qué están ocurriendo estos cambios reales y azarosos en la salud de la población: hemos logrado detener infecciones con antibióticos, y cánceres con quimioterapias, así como reducir accidentes con avances tecnológicos, lo cual nos ha permitido tener la generación más longeva (no así la más feliz) de la especie humana. Pero… ¿y el cerebro? Estas son las preguntas centrales de este libro: ¿qué hemos hecho durante las últimas décadas para cuidar nuestros hermosos, perfectos e infinitamente capaces cerebros? y ¿quién quiere un cuerpo vivo sin un cerebro que funcione bien? Yo, al menos, no. No estoy interesada en existir en este plano físico sin mi cerebro.
Estamos muy preocupados por cómo nos vemos por fuera, pero nuestro órgano más importante, el que nos comanda, también necesita muchos cuidados. El objetivo de este libro es revisar esas herramientas que, a lo largo de las últimas décadas, han sido estudiadas a fondo y que han arrojado resultados inequívocos acerca de su efecto sobre el bienestar y el funcionamiento óptimo de nuestro cerebro, órgano también conocido como donde reside nuestra mente, y con el cual —muchos coincidimos— interpretamos el mundo que nos rodea, desarrollamos nuestras ideas, le damos vida a nuestro ser, sentimos esta vida y nos conectamos con eso que podemos llamar energía universal o subconsciente (por no adentrarme en los temas del alma y la espiritualidad, que los dejo a otros).
Así, en este libro revisaremos los siguientes temas:
1)Los alimentos y el cerebro: Hablaremos de los macro y micronutrientes y algunos alimentos específicos, como el gluten, o algunas especias poderosas que merecen mención por separado.
2)La relación intestino-cuerpo-mente, que es muy importante en nuestro organismo y de la cual depende, en gran parte, nuestro bienestar. Aquí también mencionaremos algunas patologías mentales frecuentes y su relación directa con la microbiota.
3)El ejercicio físico y el cerebro, el ayuno y la alimentación desde el punto de vista de la salud de nuestro planeta.
4)Los hábitos: Decidí incorporar un capítulo enteramente dedicado a este tema, pues si no sabemos cómo adoptar buenos hábitos en nuestros días y eliminar los que nos hacen daño, podemos tener una enciclopedia entera de los beneficios de la chía, el trote y la meditación y saber cómo vivir en un flow creativo, pero llevar una vida esclava de la gratificación inmediata y alejada del bienestar. Nuestros hábitos nos moldean, nos definen y, a partir de ellos, formamos una identidad. Y nuestra identidad es, finalmente, la cara que le damos al mundo… y a nosotros mismos.
5)La motivación detrás de sanarnos. El planeta, las plantas y la salud coherente para todos.
6)Por último, el postre del libro (lo mejor para muchos): una guía de 21 días con recetas deliciosas. Es el segundo libro de saracocinaymente (un espacio creado por mí, dedicado enteramente al placer de adquirir conocimiento sobre la alimentación y el bienestar y compartirlo a través de talleres, escritos, libros, recetas y conferencias), entonces, cómo no darles mis mejores recomendaciones para desayunos, platos principales, snacks y postres. Estas recetas podrán ser 100 % veganas para quienes así lo deseen, o vegetarianas, o con opciones de sustituir algunos ingredientes por proteínas de origen animal. El orden de la guía propuesta para estos 21 días tiene en cuenta un escalonamiento de los alimentos que pueden ser menos tolerados por algunos, por lo cual las recetas de los primeros días son más “suaves” para estos intestinos sensibles pero igualmente deliciosas. El plan sugerido es alto en fibra, ya aprenderán por qué, y sigue los principios de una alimentación basada en plantas.