Con el paso de los años, he descubierto que poseo una capacidad oculta. Puedo permanecer tumbada y completamente inmóvil durante largos períodos.
La primera vez que me di cuenta de que poseía ese don fue en 1987, en la Universidad de California en Santa Bárbara, cuando me convertí en la primera persona autista de la que se obtenía una imagen por resonancia magnética, o IRM. Los técnicos me advirtieron de que la experiencia sería ruidosa, y así fue. Me dijeron que el apoyo de la cabeza sería incómodo, y así fue. Me dijeron que tenía que permanecer tumbada muy, muy quieta, y, con un poco de esfuerzo, así lo hice.
Sin embargo, ninguna de esas dificultades me preocupaba lo más mínimo. Estaba demasiado emocionada. Me ofrendaba voluntariamente en el altar de la ciencia. Despacio, mi cuerpo se fue deslizando al interior del cilindro metálico.
«No está mal —pensé—. Se parece un poco a una prensa para ganado. O algo sacado de Star Trek».
Durante la media hora siguiente, ocurrió todo lo que me habían dicho: el sonido de martillos golpeando yunques; el calambre en el cuello; la monotonía autoconsciente de controlar cada uno de mis movimientos abortados. «No te muevas, no te muevas, no te muevas»: treinta minutos diciéndome que me quedara completamente quieta.
Y se acabó. Salté de la camilla y me fui directamente a la habitación del técnico, donde recibí mi recompensa: la visión de mi cerebro.
«Viaje al centro de mi cerebro»: así llamo a esta experiencia. Ya son siete u ocho veces las que he salido de un aparato de imaginería cerebral y he observado el funcionamiento interno de lo que hace que yo sea yo: los pliegues y lóbulos y senderos de mi cerebro que determinan mi pensamiento, toda mi forma de ver el mundo. La primera vez que vi una IRM de mi cerebro, en 1987, inmediatamente me di cuenta de que no era simétrico. Era evidente que una cámara del lado izquierdo —un ventrículo— era más larga que la correspondiente del lado derecho. Los médicos me dijeron que esa asimetría era importante y que, de hecho, es habitual cierta asimetría entre las dos mitades del cerebro. Pero desde entonces los científicos han averiguado cómo medir esta asimetría con mucha mayor precisión de la que era posible en 1987, y hoy sabemos que un ventrículo alargado en tal medida parece que guarda relación con algunos de los síntomas que me identifican como autista. Y los científicos han podido determinarlo gracias a los extraordinarios avances de la tecnología de la neuroimagen y su investigación.
Gracias a la neuroimaginería nos podemos plantear dos preguntas fundamentales sobre cada una de las partes del cerebro: ¿Qué aspecto tiene? ¿Qué hace?
La imaginería por resonancia magnética, o IRM, utiliza un potente imán y una explosión breve a una determinada radiofrecuencia para conseguir que los núcleos de los átomos de hidrógeno del cuerpo que giran de forma natural se comporten de modo que la máquina pueda detectar. La IRM estructural existe desde los años setenta y, como indica la palabra estructural, proporciona imágenes de las estructuras anatómicas del interior del cerebro. La IRM estructural ayuda a responder la pregunta «¿Qué aspecto tiene?».
La IRM funcional, que fue introducida en 1991, muestra cómo funciona realmente el cerebro al reaccionar ante estímulos sensoriales (la vista, el sonido, el sabor, el tacto o el olor) o cuando la persona realiza una tarea —resuelve un problema, escucha una historia, pulsa un botón, etc.—. La IRMf sigue el flujo de la sangre en el cerebro, por lo que cabe presumir que rastrea la actividad neuronal (porque una mayor actividad requiere mayor cantidad de sangre). Las partes del cerebro que se iluminan mientras este reacciona a los estímulos o realiza las tareas asignadas, suponen los investigadores, dan la respuesta a la pregunta «¿Qué hace?». En las dos últimas décadas, las investigaciones con estudios de IRMf han producido más de veinte mil artículos revisados por expertos. En años recientes, el ritmo se ha acelerado, y cada día se publican ocho o más artículos.
Aun así, la neuroimagen no sabe distinguir entre causa y efecto. Veamos un conocido ejemplo relacionado con el autismo: el reconocimiento facial. Los estudios con neuroimágenes llevan décadas repitiendo que la corteza del autista no reacciona ante las caras con la misma rapidez con que lo hace ante los objetos. ¿Es que la activación cortical como respuesta a las caras se atrofia en las personas autistas debido a la poca interacción de estas con otras personas? ¿O los autistas tienen poca interacción social con otras personas porque las conexiones de la corteza no registran con fuerza las caras? No se sabe.
Las neuroimágenes no lo pueden explicar todo (véase el recuadro al final de este capítulo). Pero nos dicen muchas cosas. Una tecnología capaz de observar una parte del cerebro y plantearse las preguntas «¿Qué aspecto tiene?» y «¿Qué hace?» también puede responder un par de preguntas más: «¿En qué se diferencia el aspecto del cerebro autista del cerebro normal?» y «¿Qué es lo que el cerebro autista hace de forma distinta a como lo hace el cerebro normal?». Los investigadores del autismo ya han podido dar muchas respuestas a estas dos preguntas, unas respuestas que nos han permitido tomar las conductas que siempre han sido la base de un diagnóstico de TEA y empezar a emparejarlas con la biología del cerebro. Y con esa comprensión del autismo unida a unas tecnologías cada vez más avanzadas, muchos investigadores piensan que el diagnóstico basado en la biología no solo es posible, sino que casi está al alcance de la mano, tal vez a solo unos cinco años de distancia.
Siempre les digo a mis alumnos: «Si queréis entender el comportamiento animal, empezad por el cerebro». Las partes de cerebro que compartimos con otros mamíferos fueron las primeras en evolucionar: las zonas emocionales primigenias que nos dicen cuándo conviene luchar y cuándo nos interesa huir. Se encuentran en la base del cerebro, donde este se une con la espina dorsal. Las áreas que realizan las funciones que nos hacen humanos evolucionaron más recientemente: el lenguaje, la planificación a largo plazo, la conciencia del yo. Se hallan en la parte frontal del cerebro. Pero lo que nos hace ser lo que somos es toda la compleja relación entre las diversas partes del cerebro.
Cuando hablo del cerebro suelo utilizar la analogía de un edificio de oficinas. Los empleados de las diferentes partes del edificio tienen sus propias zonas de especialización, pero trabajan juntos. Unos departamentos trabajan más en colaboración que otros. Unos son más activos que otros, dependiendo de la tarea de que se trate en cada momento. Pero al final del día, se juntan para elaborar un único producto: una idea, una acción, una respuesta.
En la parte superior del edificio se sienta el consejero delegado, la corteza prefrontal —prefrontal porque se encuentra delante del lóbulo frontal, y corteza porque forma parte de la corteza cerebral, las varias capas que componen la superficie exterior del cerebro—. La corteza prefrontal coordina la información que le llega de las otras partes de la corteza para que puedan trabajar juntas y realizar funciones ejecutivas: multitareas, estrategias, inhibición de impulsos, consideración de múltiples fuentes de información, reunir diversas opciones en una solución.


El cerebro humano, vista lateral y cenital. © Science Source / Photo Researchers, Inc. (arriba); © 123rf.com (abajo).
En las plantas inmediatamente por debajo de la del consejero delegado están las otras secciones de la corteza cerebral. Cada una de ellas es responsable de la parte del cerebro que abarca. Podemos imaginar la relación entre estos trozos discontinuos de sustancia gris y sus partes correspondientes como algo parecido a la relación entre unos vicepresidentes corporativos y sus respectivos departamentos.
• La vicepresidenta corteza frontal es responsable del lóbulo frontal: la parte del cerebro que se ocupa del razonamiento, los objetivos, las emociones, el juicio y los movimientos musculares voluntarios.
• La vicepresidenta corteza parietal es responsable del lóbulo parietal: la parte del cerebro que recibe y procesa la información y maneja los números.
• La vicepresidenta corteza occipital es responsable del lóbulo occipital: la parte del cerebro que procesa la información visual.
• La vicepresidenta corteza temporal es responsable del lóbulo temporal: la parte auditiva del cerebro que controla el tiempo, el ritmo y el lenguaje.
Por debajo de estas vicepresidentas están los trabajadores de estas diversas divisiones: los bichos raros, como me gusta llamarlos. Son las áreas del cerebro que participan en funciones especializadas, como las matemáticas, el arte, la música y el lenguaje.
En el sótano del edificio se encuentran los operarios. Son quienes se ocupan de los sistemas vitales, como la respiración y la excitación del sistema nervioso.
Es evidente que todos estos departamentos y empleados se deben comunicar entre sí. Y para ello disponen de ordenadores, teléfonos, tabletas, teléfonos inteligentes, etc. Cuando uno quiere hablar personalmente con otro, toma el ascensor o las escaleras. Todos estos sistemas de acceso, que conectan a los trabajadores de las diferentes partes del edificio de todas las formas imaginables, son la sustancia blanca. La sustancia gris es el delgado recubrimiento que controla las diferentes zonas del cerebro, mientras que la sustancia blanca —que constituye las tres cuartas partes del cerebro— es un inmenso matorral de cables que asegura que todas las áreas se comuniquen.
Sin embargo, en el cerebro autista es posible que el ascensor no pare en la séptima planta. Es posible que los teléfonos de la planta de contabilidad no funcionen. Puede ocurrir que en el vestíbulo la señal inalámbrica sea muy débil.
Antes de la invención de las neuroimágenes, los investigadores tenían que trabajar con cerebros muertos. Averiguar la anatomía del cerebro —la respuesta a la pregunta «¿Qué aspecto tiene?»— era relativamente fácil: se corta, se observa y se etiquetan todas las partes. Averiguar las funciones de esas partes —responder la pregunta «¿Qué hace?»— era mucho más complejo: buscar a alguien que se comporte de forma extraña y, cuando muera, averiguar qué tenía dañado en el cerebro.
Los casos de «cerebro averiado» siguen siendo útiles en neurología. Los tumores. Las lesiones craneales. Los derrames cerebrales. Si algo se avería en el cerebro, realmente se puede empezar a averiguar qué hacen sus diferentes partes. Pero hoy la diferencia es que no hay que esperar a que el portador del cerebro fallezca. La neuroimagen permite observar las partes del cerebro y ver qué está dañado en este momento, mientras el paciente aún está vivo.
En cierta ocasión, en una visita a una universidad, conocí a un estudiante que me dijo que, cuando intentaba leer, las letras se le movían. Le pregunté si había sufrido alguna herida en la cabeza, y dijo que se la había golpeado un disco de hockey. Le pregunté dónde le había golpeado exactamente. Me señaló la parte posterior de la cabeza. (No creo que fuera tan grosera como para comprobar realmente ese punto, pero no estoy segura.) El lugar que señalaba era la corteza visual primaria, que es precisamente donde yo esperaba que señalase, por lo que la neuroimagen nos ha enseñado.
En los estudios sobre cerebro dañado, podemos tomar un síntoma, una indicación de que algo se ha desbaratado, y buscar la zona dañada. Con este tipo de investigación, hemos localizado los circuitos de la parte posterior de la cabeza que regulan la percepción de la forma, el color, el movimiento y la textura. Sabemos cuál es cuál porque cuando se averían ocurren cosas muy extrañas. Si te golpeas el circuito del movimiento, es posible que en una serie de imágenes fijas veas café que se va vertiendo. Si te golpeas el circuito del color, puede que te veas viviendo en un mundo en blanco y negro.
Los cerebros autistas no están dañados. No lo está el mío. No tengo los circuitos rotos. Lo que ocurre es sencillamente que no se desarrollaron adecuadamente. Pero como mi cerebro se ha llegado a conocer bastante bien por sus varias peculiaridades, quienes investigan el autismo se han puesto en contacto conmigo a lo largo de los años para pedirme que me preste a un tipo u otro de resonancia magnética. Normalmente lo hago con mucho gusto. Como resultado de estos estudios, he aprendido muchas cosas sobre el funcionamiento interno de mi propio cerebro.
Gracias a un escáner del Centro de Excelencia del Autismo, de la Facultad de Medicina de la Universidad de California en San Diego,1 sé que mi cerebelo es un 20% más pequeño de lo normal. El cerebelo contribuye a controlar la coordinación motora, de modo que esa anormalidad probablemente explica mi desastroso sentido del equilibrio.
En 2006, participé en un estudio realizado en el Centro de Estudios de Imagen Cerebral de Pittsburgh y me sometí a un escáner de IRM y una versión de la tecnología IRM llamada imagen con tensor de difusión (ITD). La IRMf registra las zonas del cerebro que se iluminan; en cambio, la ITD mide el movimiento de las moléculas del agua a través de los tractos de sustancia blanca (las comunicaciones interdepartamentales de las diferentes zonas).
• La parte de IRMf del estudio medía la activación en mi corteza visual ventral (o inferior) cuando miraba dibujos de caras y dibujos de objetos y edificios. Ante los dibujos de objetos y edificios, el sujeto de control y yo reaccionábamos de forma similar, pero ante las caras mi cerebro mostraba mucha menos activación que el de la otra persona.
• El escáner de ITD analizaba los tractos de fibra blanca entre las diversas regiones de mi cerebro. Las imágenes indicaban que estoy hiperconectada, lo cual significa que mi fascículo frontoccipital inferior (FFOI) y mi fascículo longitudinal inferior (FLI) —dos tractos de fibra blanca que serpentean a través del cerebro— tienen muchas más conexiones de lo normal. Cuando recibí los resultados de ese estudio, enseguida me di cuenta de que corroboraban algo que llevaba diciendo hacía mucho tiempo: que debo de tener una línea troncal de Internet, una línea directa, en la corteza visual, lo cual explicaría mi memoria visual. Pensaba que hablaba de forma metafórica, pero en ese momento me percaté de que esta descripción era una explicación exacta de lo que realmente ocurría dentro de mi cabeza. Me puse a buscar estudios sobre cerebro dañado para ver qué más podía averiguar sobre esta línea troncal, y encontré uno en el que participaba una mujer de cuarenta y siete años con perturbación de la memoria visual.2 El escáner ITD de su cerebro revelaba que la mujer tenía una desconexión parcial en su FLI. Los investigadores concluían que el FLI tenía que estar «altamente implicado» en la memoria visual. Recuerdo que pensé: «Si se me rompe este circuito, voy a quedar hecha un auténtico lío».
En 2010 me hicieron una serie de escáneres en la Universidad de Utah. Una de las cosas que se descubrieron fue particularmente gratificante. ¿Recuerda el lector que, ya en 1987, después de que me hicieran la primera IRM, cuando les señalé la diferencia de tamaño de mis ventrículos, los investigadores me dijeron que era de esperar cierta asimetría del cerebro? Pues bien, el estudio de la Universidad de Utah mostró que mi ventrículo izquierdo era un 57% más largo que el derecho. Es muchísimo. En los sujetos de control, la diferencia entre los dos ventrículos es solo del 15%.
Mi ventrículo es tan largo que se extiende hasta el interior de la corteza parietal. Y se sabe que la corteza parietal está relacionada con la memoria de trabajo. La perturbación de mi corteza parietal podría explicar por qué tengo problemas para realizar tareas que me obliguen a cumplir varias instrucciones muy seguidas. También parece que la corteza parietal está relacionada con las destrezas matemáticas, cosa que podría explicar mis problemas con el álgebra.
En 1987, la tecnología de la neuroimagen no podía medir con mucha precisión las estructuras anatómicas del interior del cerebro. Pero si los investigadores de aquella época hubiesen sabido que un ventrículo de mi cerebro medía 7,093 milímetros de largo y el otro, 3,968, estoy segura de que les hubiera dado mucho que pensar.

En estos escáneres de 2006 destacan (las zonas de color negro que van de arriba abajo) mi fascículo longitudinal inferior (FLI) y mi fascículo frontoccipital inferior (FFOI). El FLI es mucho más grueso que el que se vería en un cerebro normal, y se pueden observar fácilmente las muchas ramificaciones de mi FFOI. En ambos casos, estos tractos de sustancia blanca se extienden hasta la corteza visual primaria, lo cual quizás explique en parte mi extraordinaria memoria visual. © Doctora Marlene Behrmann, Brain Imaging Research Center, Carnegie Mellon University, Pittsburgh.

Este escáner realizado en la Universidad de Utah en 2010 muestra de forma contundente que mi ventrículo izquierdo es mucho más largo que el derecho —un 57% más largo—. Es tan largo que penetra en el interior de la corteza parietal, un área que se asocia a la memoria a corto plazo, lo cual tal vez explique mi escasa capacidad para recordar varias informaciones dadas a intervalos muy cortos. © Jason Cooperrider.
¿Cómo llegaron a diferenciarse tanto los dos ventrículos laterales? Una hipótesis es que cuando el daño se produce en las primeras fases del desarrollo del cerebro, otras áreas de este intentan compensarlo. En mi caso, el daño se habría producido en la sustancia blanca del hemisferio izquierdo, y el ventrículo izquierdo se habría alargado para llenar la zona dañada. Al mismo tiempo, la sustancia blanca del hemisferio derecho habría intentado compensar la pérdida de función cerebral del hemisferio izquierdo, y esta expansión al hemisferio izquierdo habría frenado el crecimiento del ventrículo derecho.
Algunos de los otros hallazgos importantes del estudio de IRM de Utah fueron:
• Tanto mi volumen intracraneal —el espacio del interior del cráneo— como el tamaño de mi cerebro eran un 15% mayores que los de los sujetos de control. Lo más probable es que también esto sea consecuencia de algún tipo de anormalidad del desarrollo. Es posible que las neuronas hubieran crecido a un ritmo acelerado para compensar la zona dañada.
• La sustancia blanca de mi hemisferio cerebral derecho era casi un 15% mayor que la del sujeto de control. Una vez más, esta anomalía podría ser consecuencia de una temprana anormalidad evolutiva de mi hemisferio izquierdo y del intento de mi cerebro de compensarlo con la generación de nuevas conexiones. En mi opinión, estos datos confirman el hallazgo anterior de la Universidad de Pittsburgh de que mi cerebro está hiperconectado.
• Mis amígdalas son más grandes de lo normal. El tamaño medio de las amígdalas de los tres sujetos de control era de 1,498 milímetros cúbicos. Mi amígdala izquierda es de 1,719 milímetros cúbicos y la derecha, aún mayor: 1,829 milímetros cúbicos, o un 22% mayor de lo habitual. Y dado que la amígdala es importante para procesar el miedo y otras emociones, este gran tamaño podría explicar la ansiedad con que siempre he vivido. Pienso en todos los ataques de pánico que sufrí como una auténtica plaga durante la mayor parte de la década de 1970, y empiezo a entenderlos de otra forma. Mis amígdalas me dicen que lo tengo todo para sentir miedo, incluso del propio miedo.
Desde que empecé a tomar antidepresivos, a principios de los años ochenta, la ansiedad ha estado controlada, seguramente porque el demoledor sistema nervioso simpático está bloqueado. Pero la vigilancia sigue activa, filtrándose por debajo de la superficie. Mi sistema del miedo está siempre en estado de alerta ante posibles peligros. Si los estudiantes que residen cerca de donde yo vivo charlan por la noche en el aparcamiento que hay debajo de mi ventana, no puedo dormir. Lo que hago es poner música New Age para bloquear el ruido, aunque los estudiantes hablen en voz baja (pero la música no ha de tener coros). El volumen no tiene nada que ver con el factor miedo; en cambio, sí lo tiene la asociación con el peligro. Las voces humanas se asocian con una posible amenaza. La música New Age, no. En este sentido, tampoco se asocia con el peligro del sonido del avión, de modo que no me molesta, aunque esté en un hotel al lado del aeropuerto. Podría aterrizar un avión en el hotel sin que me despertara. Pero ¿y si hay gente hablando en la habitación contigua? Pues nada, enciendo la luz y me pongo a leer, porque sé que no me voy a dormir hasta que ellos lo hagan.
• El grosor cortical de mis cortezas entorrinales izquierda y derecha era significativamente mayor que el de las personas de control —un 12% el de la izquierda y un 23% el de la derecha—. «La corteza entorrinal es la puerta de acceso al ordenador central de la memoria del cerebro»,3 dice Itzhak Fried, profesor de neurocirugía de la Facultad de Medicina David Geffen de la Universidad de California en Los Ángeles. «Todas las experiencias visuales y sensoriales que acabamos por encargar a la memoria se canalizan por la puerta del hipocampo. Las células del cerebro deben mandar señales a través de este nudo de comunicaciones para formar recuerdos que más tarde podamos recuperar de forma consciente». Es posible que esta peculiaridad de la anatomía de mi cerebro ayude a explicar la excepcional capacidad de mi memoria.
Naturalmente, creo que estos resultados son fascinantes porque destacan algunas de las cosas extrañas que ocurren en mi cerebro y que contribuyen a hacer de mí la persona que soy. Pero lo que me parece realmente fascinante es que coinciden con los resultados de estudios sobre algunas otras personas con autismo.
• ¿Preferencia por los objetos antes que por las caras? «Estos resultados son habituales en las personas con autismo», fue lo que después me dijeron, en un resumen de lo que habían descubierto los investigadores que realizaron el estudio con IRM de Pittsburgh en 2006. «Una cosa que al parecer se repite de forma constante en estos estudios con IRM de personas con autismo es la notable reducción de la activación cortical ante las caras».
• En las personas con autismo también se observa con frecuencia una amígdala de mayor tamaño. La amígdala alberga muchas funciones emocionales, de ahí que el autista se pueda sentir como un auténtico descarado.
• Y luego está lo que señaló Jason Cooperrider, el alumno de doctorado que dirigió el estudio con imágenes de Utah en 2010: «El tamaño de la cabeza de la doctora Grandin es mayor en todos los sentidos, lo cual se corresponde con el mayor tamaño/crecimiento de la cabeza/cerebro en las personas con autismo». Un cerebro más grande de lo habitual se puede deber a una serie de fallos genéticos, cada uno de los cuales se puede traducir en un arranque temprano del desarrollo neuronal. El ritmo de crecimiento acaba por normalizarse, pero la macrocefalia se mantiene. Las últimas estimaciones son que en torno al 20% de las personas autistas tienen el cerebro más grande; parece que la inmensa mayoría de ellas son varones, por razones que no están claras, ni mucho menos.4
Por primera vez, gracias a cientos, o miles, de estudios con neuroimágenes de personas autistas, observamos una clara relación entre las conductas autistas y las funciones cerebrales. Y esto es muchísimo. En un artículo de reseña se resumía así esa época: «Este cuerpo de investigaciones estableció claramente que el autismo y sus signos y síntomas son de origen neurológico».5 La hipótesis con la que se trabajó durante tanto tiempo se ha convertido hoy en doctrina basada en pruebas y que toda la comunidad comparte: el autismo está realmente en el cerebro.
El problema es que lo que hay en mi cerebro autista no es necesariamente lo que hay en el cerebro autista de otra persona. Como en cierta ocasión me dijo Margaret Bauman, pionera de la neuroanatomía: «El hecho de que tengas la amígdala mayor de lo normal no significa que la amígdala de todas las personas autistas sea mayor de lo normal». Se han observado ciertas similitudes entre los cerebros autistas, pero conviene ser precavido y no generalizar. De hecho, los investigadores de las neuroimágenes se enfrentan a tres retos en su búsqueda de una base común para los cerebros autistas.
Homogeneidad de las estructuras del cerebro. El estudio de Utah de 2010 reveló ciertas sorprendentes anomalías anatómicas de mi cerebro, pero también demostró, como me decía Cooperrider en un correo electrónico, que «en más o menos el 95% de las comparaciones» con los sujetos de control «las diferencias eran insignificantes». Esta abrumadora normalidad del cerebro autista es la regla, no la excepción.
«Anatómicamente, estos niños son normales», decía Joy Hirsch, investigadora del autismo por entonces del Centro Médico de la Universidad de Columbia de Nueva York, refiriéndose a los sujetos de uno de sus estudios. «Estructuralmente, el cerebro es normal a cualquier escala que se considere».6
Lo cual no significa decir que la estructura de los cerebros de su estudio, o en general de los cerebros autistas, no varíe entre un cerebro y otro. Varía. Pero lo mismo pasa con los cerebros normales. Lo que ocurre es que las variaciones entre los cerebros autistas se dan predominantemente en la franja de lo que es normal. Thomas Insel, director del Instituto Nacional de Salud Mental, decía en USA Today en 2012, poco después de que los centros para el Control de Enfermedades subieran la prevalencia estimada del autismo de 1 por 110 a 1 por 88: «Incluso en el caso del niño sin lenguaje, que se autolesiona y que ha tenido múltiples ataques epilépticos, sorprende el aspecto normal de su cerebro. Es la verdad más incómoda de esta condición».7
No obstante, aparecen ciertos patrones. Además de las variaciones de mi propio cerebro que parecen coincidir con las de otras personas autistas —amígdala mayor, macrocefalia, falta de activación cortical al contemplar caras—, algunos de estos patrones generalizados son:
• Evitación del contacto visual. Es una evitación de las caras distinta de la preferencia por los objetos frente a las caras. En un estudio con IRMf de 2011, publicado en el Journal of Austism and Developmental Disorders, se descubrió que los cerebros de una muestra de autistas de alto funcionamiento y personas de desarrollo típico parecían reaccionar al contacto visual de manera opuesta.8 En el cerebro neurotípico, la intersección tempoparietal (ITP) derecha se activaba con la mirada directa, mientras que en el sujeto autista la ITP se activaba con la evitación de la mirada. Los investigadores piensan que la ITP está relacionada con tareas sociales que incluyen juicios sobre los estados mentales de otras personas. En el estudio se observó el patrón opuesto en la corteza prefrontal dorsolateral izquierda: en las personas neurotípicas, activación ante la evitación de la mirada; en las autistas, activación ante la mirada directa. Por lo tanto, no es que las personas autistas no reaccionen al contacto visual, sino que su reacción es la opuesta a la de las personas no autistas.
«La sensibilidad a la mirada en la corteza prefrontal dorsolateral izquierda demuestra que la mirada directa obtiene una reacción neuronal específica de los participantes con autismo», decía el estudio. Sin embargo, el problema es «que esta reacción puede ser similar a cómo se procesa la evitación de la morada en los participantes de desarrollo típico». Lo que siente la persona neurotípica cuando alguien no establece contacto visual puede ser lo que la persona autista siente cuando alguien establece contacto visual. Y viceversa: lo que siente la persona neurotípica cuando alguien establece contacto visual puede ser lo que siente la persona autista cuando alguien no establece contacto visual. Para la persona con autismo que intenta desenvolverse en una situación social, las pistas que para una persona neurotípica serían de aceptación, en el caso de la persona autista se pueden interpretar como pistas de aversión. Una completa inversión.
• Hiperconectividad e hipoconectividad. Un influyente artículo publicado en Brain en 2004 postulaba la teoría de la hipoconectividad: la idea de que la insuficiente conectividad entre las regiones corticales podría ser un elemento común del autismo.9 A escala global, las grandes secciones del cerebro no pueden coordinar sus mensajes. Desde entonces, otros muchos estudios han defendido la misma tesis, y han hallado la misma relación entre la hipoconectividad entre las zonas corticales y las deficiencias en una diversidad de tareas relacionadas con la cognición social, el lenguaje y la función ejecutiva.
En contraste con esta hipoconectividad a larga distancia, en otros estudios se ha observado una hiperconectividad a escala local. Cabe presumir que este hipercrecimiento se produce de la forma que ya he expuesto, como el intento de una parte del cerebro de compensar alguna deficiencia de otra parte. El resultado puede ser positivo. Como he mencionado, tengo hiperconectividad en una zona que se corresponde con la memoria visual. Afortunadamente soy capaz de gestionar la información visual. En una sesión de evaluación, me siento y soy capaz de proyectarme en la mente la película de cómo va a funcionar un determinado equipo, y después, una vez terminada la reunión, desconectar. Sin embargo, algunas personas con autismo no disponen de interruptor de apagado, y en su caso la hiperconectividad conduce a un bombardeo de información, mucha parte de ella confusa.
Lo cual no significa decir que la teoría de la hipoconectividad explique todos los cerebros autistas. Como ocurre con muchos intentos iniciales de definir la solución de algún problema, lo más probable es que se simplifique en exceso la situación. Como señalaba un estudio de 2012 de la Universidad de Ámsterdam: «Los modelos teóricos actuales no recogen algunos patrones de conectividad funcional anormal en los trastornos del espectro autista.10 En su conjunto, los hallazgos empíricos que miden las distintas formas de conectividad demuestran que existen complejos patrones de conectividad anormal en las personas con TEA». La teoría, concluía el artículo, «debe ser perfeccionada».
Heterogeneidad de las causas. Ni siquiera cuando creen que han encontrado una relación constante entre el comportamiento de una persona autista y una anormalidad del cerebro, los investigadores pueden estar seguros de que otra persona que manifieste el mismo comportamiento vaya a tener la misma anormalidad. Parte del título de un estudio sobre el autismo que en 2009 se publicó en el Journal of Neurodevelopmental Disorders recogía sucintamente la situación: «Misma conducta, cerebros distintos».11 En otras palabras, el hecho de que la persona sea proclive a una ansiedad extrema no significa que su cerebro autista tenga una amígdala de mayor tamaño.
Heterogeneidad de las conductas. Y, al revés, cuando los investigadores hallan una anormalidad en el cerebro, no pueden estar seguros de que la anomalía produzca el mismo efecto conductual en un cerebro distinto. O, para el caso, que produzca algún efecto. El simple hecho de tener una amígdala más grande no significa que se sea autista.
¿Y si lo significara?
No necesariamente una amígdala mayor. ¿Y si algún hallazgo o conjunto de hallazgos anatómicos fueran un elemento de diagnóstico fiable? Un diagnóstico que no se basara solo en las conductas sino también en la biología marcaría una gran diferencia en la predicción de deficiencias y en el diseño de tratamientos. Médicos e investigadores podrían:
• Intervenir pronto, incluso en la infancia, cuando el cerebro es aún muy susceptible de ser reconectado.
• Trabajar de forma más localizada las zonas del cerebro, rehabilitando las partes de este en cuya recuperación crean que puedan ayudar, y no perder el tiempo en partes que son irrecuperables.
• Probar terapias nuevas y monitorizar con mayor detalle las existentes.
• Hacer un diagnóstico individualizado, caso por caso.
Ese diagnóstico sería también enormemente beneficioso para el paciente, porque le permitiría saber qué tiene realmente de inusual. Personalmente, me gusta saber que mi mayor nivel de ansiedad puede estar relacionado con el hecho de que tengo una amígdala más grande. Para mí, saberlo es importante. Me ayuda a considerar la ansiedad en sus justos términos. Me puedo repetir que el problema no está ahí fuera —en los estudiantes que están charlando en el aparcamiento de debajo de mi ventana—. El problema está aquí dentro —en cómo está cableado mi cerebro—. Puedo tomar algún medicamento contra la ansiedad, pero no puedo hacer que desaparezca. De modo que, ya que tengo que vivir con ella, al menos lo puedo hacer con la seguridad que me da saber que el peligro no es real. Lo real es el sentimiento de peligro, lo cual es muy distinto.
Vistos los obstáculos que entorpecen la investigación del autismo desde una perspectiva neurobiológica —la homogeneidad de los cerebros, la heterogeneidad de los comportamientos y las causas— nos podríamos preguntar si es realista fijarse como objetivo hallar un biomarcador. Sin embargo, en los últimos años los investigadores han hecho enormes avances hacia la consecución de tal objetivo, y hoy muchos hablan de cuando, y no de si.
«No disponemos aún de una prueba de fuego para el autismo —decía la neurocientífica Joy Hirsch—. Pero tenemos una base para determinarlo».
Como directora del Centro de Investigaciones con IRM del Centro Médico de la Universidad de Columbia de la ciudad de Nueva York, Hirsch ha intentado sentar esa base en la búsqueda de una prueba de fuego del autismo. En un estudio que su equipo realizó entre 2008 y 2010, se hicieron resonancias del giro temporal superior —la parte del sistema auditivo que procesa los sonidos del habla para convertirlos en lenguaje significativo— de quince sujetos autistas de entre siete y veintidós años, y doce niños y adolescentes de control de entre cuatro y diecisiete años.12 «La discapacidad más evidente del autismo es la del habla —decía Hirsch, refiriéndose a la tesis en que se basaba el experimento—. Nuestra hipótesis era que podríamos empezar a ver diferencias en la primera fase». Y pensaban que así fue: sus mediciones de la actividad en esa zona del cerebro pudieron identificar a catorce de los quince sujetos autistas, una tasa de sensibilidad del 92%. (Otros investigadores han puesto en duda la fiabilidad de comparar sujetos despiertos con otros que estaban sedados, unos factores que el equipo de Hirsch consideraba que tenían en cuenta. Como suele ocurrir en la ciencia, pruebas posteriores corroborarán o no la validez de los hallazgos.)
Otro sistema que los investigadores emplean para buscar un biomarcador es tomando una muestra de sujetos autistas y de control, centrarse en un aspecto del cerebro sobre el que haya razones para pensar que está relacionado con la conducta autista, y ver si puede formular un algoritmo con el que se pueda distinguir un cerebro de otro. Jeffrey S. Anderson, de la Universidad de Utah, da esta explicación simplificada: «Utilizamos una serie de cerebros normales y cerebros de personas con autismo, hacemos una plantilla de cada uno de ellos [de cerebro autista y de cerebro neurotípico] e incorporamos a un sujeto nuevo y simplemente preguntamos: “¿Cuál encaja mejor?”».
La cuestión no es determinar que este o ese cerebro pertenece a una persona autista o a una neurotípica. Se trata de una suma que pueda ayudar a identificar zonas de posible interés que pudieran ser biomarcadores.
En un importante estudio que el equipo de Anderson publicó en 2011, el aspecto del cerebro que se consideraba era la conectividad.13 Los estudios anteriores que indicaban que los cerebros autistas tienden a tener una hiperconectividad local y una hipoconectividad a larga distancia se habían centrado en un reducido número de zonas cerebrales concretas. En cambio, Anderson y sus colegas estudiaron la conectividad de la totalidad de la sustancia gris. Utilizando una variante de IRMf llamada IRM de conectividad funcional, obtuvieron mediciones de la conectividad de 7.266 «zonas de interés». En un grupo de cuarenta adolescentes y adultos jóvenes varones con autismo y una muestra similar de cuarenta sujetos de desarrollo típico, Anderson descubrió que la prueba de conectividad podía identificar si un cerebro era autista o típico con una precisión general del 79%, y del 89% en los sujetos menores de veinte años.
Ese grado de precisión coincide con los resultados de otros grupos de investigación. En un estudio con IRM realizado en 2011 en la Universidad de Louisville se descubrió que, en una muestra de diecisiete sujetos autistas y diecisiete neurotípicos, se podía utilizar la longitud de la línea central del cuerpo calloso para distinguir entre los dos tipos de cerebro con un grado de exactitud de entre el 82% y el 94%, dependiendo de los niveles de confianza estadística.14
En otro estudio con IRM de 2011, investigadores de la Facultad de Medicina de la Universidad de Stanford y del Hospital Infantil Lucille Packard no se fijaron en el tamaño de una parte concreta del cerebro, como se suele hacer en los estudios con IRM, sino en la topología de los pliegues de la sustancia gris —los picos y valles del cerebro—.15 En una muestra de veinticuatro niños y adolescentes autistas y otros veinticuatro de desarrollo típico (todos de entre ocho y dieciocho años), se identificaron diferencias entre los dos grupos en la red neuronal por defecto, un sistema asociado a la ensoñación y a otras actividades que no implican ninguna tarea y se realizan con el cerebro en reposo. Los sujetos del estudio cuyos cerebros mostraban la mayor desviación de la norma también mostraban las deficiencias de comunicación más graves. En particular, las mediciones del volumen de la corteza cingulada posterior alcanzaban una precisión del 92% en la diferenciación de un cerebro de otro.
Unos índices de precisión de entre el 80% y el 90% no son suficientes para que los investigadores puedan afirmar que han descubierto un biomarcador del autismo, pero es un importante avance que habría sido difícil imaginar hace solo diez años. Y sin duda son lo bastante altos para inspirar confianza en el sistema algorítmico.
Uno de los objetivos de futuras investigaciones es adaptar estas técnicas a sujetos más jóvenes. Como dice Anderson de Utah: «En realidad, diagnosticar autismo a un adolescente no ayuda en nada, porque ya sabemos que lo es». Cuanto más joven es el sujeto, antes se puede intervenir. Cuanto antes se intervenga, mayor será el posible efecto en la trayectoria de la vida de la persona con autismo.
La edad a la que se pueda realizar un escáner del niño dependerá en parte de la tecnología. La IRMf, por ejemplo, requiere reacciones a estímulos que generen actividad cerebral, por lo que el niño deberá tener edad suficiente (y, por supuesto, poseer la capacidad neuronal) para entender los estímulos. Las IRM, incluidas las IDT, no se basan en la actividad del cerebro, de modo que los investigadores pueden estudiar a sujetos aún más jóvenes (tanto, de hecho, que es posible que todavía no muestren signos conductuales).
Este era el caso de un estudio con IDT de 2012 dirigido por investigadores de la Universidad de Carolina del Norte en Chapel Hill.16 Los participantes eran noventa y dos bebés que tenían hermanos mayores diagnosticados como autistas y para los que, por tanto, se pensaba que existía un alto riesgo de sufrirlo también. Los investigadores escanearon el cerebro de los sujetos a los seis meses (además de otros escáneres posteriores en la mayoría de los casos). En ese punto, veintiocho de los sujetos del estudio cumplían los criterios conductuales de TEA, y sesenta y cuatro, no. ¿Se observaba en los tractos fibrosos de la sustancia blanca de un grupo alguna diferencia respecto a los tractos del otro grupo? La conclusión de los investigadores fue que en doce de los quince tractos investigados sí se observaba. A los seis meses, los niños que más tarde desarrollaron síntomas autistas mostraban mayor anisotropía fraccional (o AF, la medición de las moléculas de agua de los tractos de la sustancia blanca) que el resto de los niños. Normalmente hubiera sido una buena señal; una mayor AF indica un circuito más fuerte. Pero a los veinticuatro meses, esos mismos niños mostraban una AF más baja, señal de un circuito más débil. ¿Por qué a los seis meses de edad esos mismos circuitos eran más fuertes que los de los niños que se desarrollaban de forma típica? ¿Eran incluso más fuertes que antes? Los investigadores no tienen la respuesta, pero sí un nuevo objetivo: los niños de tres meses.
Otro objetivo de posteriores investigaciones es observar el cerebro con aún mayor detalle. Afortunadamente, el futuro ya está aquí. Lo sé porque lo he visto.
En realidad, he estado dentro del futuro: una versión radicalmente nueva de la IDT llamada seguimiento de fibras con alta definición, o imágenes HDFT (por sus siglas en inglés). Fue desarrollada en el Centro de Desarrollo e Investigación del Aprendizaje de la Universidad de Pittsburgh. Walter Schneider, investigador experimentado del centro, explica que el estudio con HDFT fue financiado por el Departamento de Defensa para investigar lesiones cerebrales traumáticas: «Vinieron y me dijeron que necesitaban algo que pudiera hacer por la lesión cerebral lo mismo que los rayos X hacen por las lesiones ortopédicas».17
Cuando, en marzo de 2012, el equipo de investigación colgó un artículo en la página del Journal of Neurosurgery,18 la tecnología despertó mucho interés en los medios de comunicación. El artículo exponía el caso de un varón de treinta y dos años que había sufrido una grave lesión cerebral en un accidente con un todoterreno. (No, no llevaba casco.) Las imágenes HDFT revelaron la presencia y localización de pérdida de fibra con tal precisión que los investigadores predijeron con exactitud la naturaleza de la duradera deficiencia motora —debilidad grave de la mano izquierda—, «cosa que no hicieron otros modelos clínicos al uso».
«Del mismo modo que en el cuerpo hay 206 huesos, en el cerebro hay cables importantes —dice Schneider—. Cualquier persona de la calle sabría dibujar un hueso roto, incluso algo más complejo. Pero si se les pregunta: “Entonces ¿qué aspecto tiene un cerebro roto?”, la mayoría de las personas —incluidos los investigadores del campo— son incapaces de dar detalles».
¿Incluidos los investigadores del campo? ¿De verdad?
«La imagen borrosa de los huesos no da un diagnóstico claro —dice Schneider—. Nosotros tomamos la imagen con tensor de difusión, y hacemos que pueda darlo».
La investigación con imágenes HDFT se ha centrado hasta ahora en lesiones cerebrales traumáticas, pero el plan a largo plazo de Schneider es mapear las superautopistas de la información del cerebro. Llevo años comparando el cableado del cerebro con las autopistas, y no soy la única, ni mucho menos. Pero la parte de alta definición de la tecnología HDFT ha puesto de manifiesto lo apropiada que es la referencia a las superautopistas.
La tecnología ITD (imagen con tensor de difusión) muestra las autopistas, las rampas de acceso y salida y los cruces del cerebro como si estuvieran en un mapa bidimensional. Este tipo de mapa es útil si se quiere saber si una fibra va de un punto a otro. Puede mostrar si la Interestatal 94 y la Condal 45 están muy cerca la una de la otra. Puede mostrar que se cruzan. Pero no cómo se cruzan. ¿Es una intersección como un cruce de carreteras? ¿O una va por encima de la otra, como un paso elevado? La tecnología antigua no puede responder esta pregunta. La HDFT, sí.

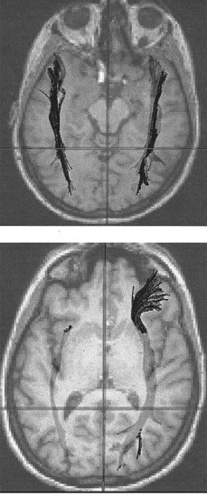
Mi cerebro en una imagen de seguimiento de fibras con alta definición (HDFT). La HDFT no solo revela la desorganización de mis zonas de producción del habla y de representación visual en comparación con las de los sujetos de control, sino que muestra las fibras con un detalle exquisito y sin precedentes. © Walter Schneider.
Y sigue las fibras. Las mantiene individualizadas durante largos trechos.
Y sigue las fibras en un recorrido mayor que cualquier otra tecnología anterior, hasta el final de la carretera.
Incluso muestra si un circuito dañado sigue activo o si ha dejado de transmitir. (Como bióloga, sencillamente me chifla; es genial.)
No quiero dar un bombo excesivo a la HDFT. Es de suma importancia, pero no va a resolver todos los misterios del cerebro. Como dice Schneider: «Uno de los enigmas de la neurociencia que más me gustan es que si se te ocurren cinco maneras en que el cerebro pueda hacer algo, lo hace en diez: en las cinco que se te han ocurrido y en cinco en las que aún no has pensado». Pese a todo, la HDFT va a afectar en gran manera a los diagnósticos que impliquen un trauma cerebral.
En primer lugar, los diagnósticos serán más precisos. El escáner IDT actual reúne datos que llegan de 51 lugares. La HDFT los reúne de 257. En consecuencia, la HDFT no solo dice qué parte del cerebro ha sido dañada. Desvela qué fibras concretas se han dañado, y cuántas.
En segundo lugar, los diagnósticos serán más convincentes. El lector sabe que hay deportistas que se desploman y fallecen. Todo el mundo establece una relación entre causa y efecto —entre el exceso de esfuerzo y un fallo del corazón— porque la tragedia es visible, viva e inmediata. No hay posibilidad de error. Y después llega la autopsia, y no deja lugar a dudas. El chico del instituto murió de infarto mientras jugaba a fútbol. El universitario murió de aneurisma coronario mientras jugaba a baloncesto. Pero las lesiones cerebrales no han tenido esta misma claridad e inmediatez y, por consiguiente, también han carecido de esa misma urgencia. Cuando un jugador de fútbol sufre una conmoción cerebral o cuando el boxeador recibe muchos puñetazos en la cabeza, es posible que los efectos de la lesión no se manifiesten en años o décadas. Y ahí acaba todo. La HDFT mostrará qué han provocado los golpes en el cerebro, y puedo asegurar que no va a ser agradable. No hará falta tener el título de médico para comparar un cerebro con traumatismo con otro de control y exclamar: «¡Oh, no!».
«En el caso de traumatismo cerebral —dice Schneider—, observamos una rotura en uno de estos cables». No ocurre así en el autismo. Aquí, dice, «observamos un patrón de crecimiento anómalo, sea genético, evolutivo, etc., dentro de ese proceso».
El laboratorio de Schneider me invitó para realizarme un escáner como parte de un programa de televisión. Después, Schneider me explicó que había estado buscando zonas de mi cerebro que mostraran como mínimo una diferencia del 50% respecto a las mismas zonas del sujeto de control. Hubo dos hallazgos, me dijo, que «realmente destacaban».
Uno es que tengo un tracto óptico enorme, un 400% mayor que el del sujeto de control.
Dos: la conexión del «di lo que ves» del sistema auditivo es diminuta —1% de la del sujeto de control—. Esta observación tenía sentido. En mi libro Emergence, hablaba de mi problema con el habla durante mi infancia. «Era como si tartamudeara. Sencillamente, no me salían las palabras».19
Después le pedí a Schneider que me interpretara esos hallazgos. Nos encontramos aún estudiando el cerebro, por lo que su interpretación sería hipotética. Pero así funciona la ciencia. Se reúne información (los escáneres de mi cerebro), se emplea para formular una hipótesis y se hace una predicción que se pueda verificar.
Desde que nace hasta que cumple un año, explicó Schneider, el niño se entrega a dos actividades que los investigadores del desarrollo llaman balbuceo verbal y balbuceo motor. El balbuceo verbal se refiere al familiar acto del bebé de hacer ruidos para oír cómo suenan. Asimismo, el balbuceo motor se refiere a acciones como la de decir adiós con la mano simplemente para ver cómo se mueve esta. En este período en que el bebé averigua cómo interactuar con el mundo, su cerebro en realidad está construyendo conexiones para que esa interacción sea posible. Durante el balbuceo verbal, se desarrollan fibras para establecer la conexión entre la parte «lo que oyes» y la parte «lo que dices» del cerebro. Durante el balbuceo motor, crecen fibras para establecer la conexión entre la parte «lo que ves» y la parte «lo que haces» del cerebro.
Después, entre el primer y el segundo año de edad, el niño llega a una fase en que sabe decir palabras sueltas. Lo que ocurre en el cerebro del niño en este punto es que las fibras forman un enlace entre aquellos dos sistemas de fibras que se construyeron durante el período del balbuceo verbal y motor. El cerebro conecta «lo que ves» con «lo que dices» hasta que sale papá, mamá, tete y demás.
En mi caso, la hipótesis de Schneider era que algo ocurrió en mi desarrollo durante la fase de las palabras sueltas, de modo que las fibras no establecían una conexión entre «lo que ves» y «lo que dices». Debió de ser el tracto del tamaño del 1% respecto del tracto del sujeto de control. Para compensarlo, mi cerebro hizo que brotaran fibras nuevas, que intentaron ir a un sitio u otro, a cualquiera. Fueron a parar sobre todo a la zona visual, y no a las áreas tradicionales de la producción del habla. Era el tracto de tamaño 400% mayor que el del sujeto de control.
En tal escenario, prosiguió Schneider, la fase de balbuceo pudo ser normal, pero el desarrollo del lenguaje se frenó drásticamente entre el primero y el segundo año.
Lo cual coincidiría con un patrón del que hablan los padres de hijos con diagnóstico de autismo.
«Exactamente», dijo Schneider.
Pero, subrayó, el escenario que describió seguía siendo solo una hipótesis. Necesitará más datos, más escáneres que realmente reflejen cómo crece el cerebro. «No disponemos de la tecnología para medirlo —dijo—. El proyecto en el que estoy trabajando es el de mapear esa secuencia evolutiva».
No tenía programado adaptar la tecnología HDFT para mapear el desarrollo del cerebro autista, pero una pregunta planteada por la periodista de 60 Minutes Lesley Stahl le hizo cambiar de idea. Schneider me pidió permiso para mostrar mis escáneres a Stahl para un segmento sobre el autismo que su programa estaba preparando. (El programa de televisión original que había financiado el escáner nunca se emitió.) Para no levantar falsas esperanzas en padres desesperados, Schneider quiso señalar que no se podría disponer de escáneres HDFT para diagnosticar el cerebro autista en el hospital local en un futuro próximo, que los hospitales más importantes no podrían acceder a esa tecnología hasta dentro de cinco o diez años, como mínimo. Stahl dejó que lo hiciera. Pero así es como recuerda Schneider que la periodista planteó la pregunta:
«Entonces, el niño de cuatro años tendrá catorce cuando le hagan el primer diagnóstico biológico de daño cerebral, un retraso que significaría diez o más años de intentos de tratamiento fallidos, la incapacidad de la madre de comunicarse con su hijo y de educarle, y la ansiedad que genera un diagnóstico incierto. ¿Qué se podría hacer para acelerar el proceso y poder disponer de él en cinco años?».
«Esta es la razón —dijo Schneider— de mi trabajo sobre el autismo».
La ciencia suele progresar gracias a nuevos avances tecnológicos. Pensemos en Galileo y el telescopio. Galileo fue una de las primeras personas en apuntar un «tubo de larga visión» al cielo nocturno, y lo que descubrió en él cambió para siempre nuestra concepción del mundo: las montañas de la Luna, las lunas alrededor de Júpiter, las fases de Venus, y muchas, muchísimas más estrellas que el ojo humano podía distinguir. Lo mismo ocurre con la neuroimaginería. La podemos imaginar como un «mentescopio» (para emplear la palabra acuñada por Hirsch), un instrumento con el que acabamos de empezar a explorar el universo interior y a recabar las primeras respuestas a nuestras preguntas sobre el cerebro autista. ¿En qué se diferencia su aspecto del aspecto del cerebro normal? ¿Y qué hace de forma distinta de la del cerebro normal?
Hoy entendemos las conexiones biológicas entre las partes del cerebro y muchas de las conductas que configuran el actual diagnóstico de autismo. Pero todavía no sabemos la causa que se oculta en la biología, la respuesta a una tercera pregunta: ¿Cómo se llegó a este punto?
Para responder esta pregunta, hay que recurrir a la genética.
La neuroimaginería no es perfecta. Para entender y apreciar lo que mejor puede hacer, veamos lo que puede y lo que no puede hacer.
• La IRMf no puede captar la actividad del cerebro durante toda la amplia diversidad de experiencias humanas. Por necesidad, solo puede observar las reacciones del cerebro que la persona pueda tener mientras está tumbada e inmóvil durante largos períodos.
• La neuroimaginería también exige que el sujeto mantenga la cabeza quieta. En los últimos años, varios estudios han hablado de que las conexiones de corto alcance del cerebro se debilitan a medida que el niño se hace mayor, mientras que las de largo alcance se refuerzan. Para los neurocientíficos, esta noticia supone un importante avance en la comprensión del proceso de maduración del cerebro. Lamentablemente, un estudio de seguimiento realizado por los autores de los estudios originales demostraba que los supuestos cambios en el desarrollo del cerebro desaparecían cuando tenían en cuenta los movimientos de la cabeza: «Es realmente una lástima —dijo el director de la investigación—. El resultado de mis últimos cinco años que más apreciaba es un artefacto».20
Este descubrimiento no hizo que los científicos reconsideraran todos los escáneres cerebrales de que disponían. Pero sí sirvió de clara advertencia sobre la necesidad de tener en cuenta el movimiento de la cabeza, una precaución especialmente necesaria en los estudios sobre personas con autismo y otros trastornos neuroevolutivos. ¿Por qué? Porque estos sujetos son precisamente los que tienen mayor dificultad para permanecer quietos. Los investigadores compiten por hallar una forma de incluir el movimiento de la cabeza en los estudios de neuroimaginería, pero, aunque lo consigan, tendrán que preguntarse si la eliminación de datos de estudios de un grupo de sujetos (como los autistas) distorsionará las comparaciones con estudios de sujetos neurotípicos.
Aunque la persona consiga permanecer quieta, puede dañar el resultado de la neuroimagen, como bien sé por propia experiencia. Durante un estudio con IRMf, me mostraron un simulador de vuelo. Primero bajaba en picado sobre el Gran Cañón. Después iba en vuelo rasante por unos campos de trigo. Luego saltaba por entre los picos de las montañas. Después me mareé, lo que no parecía una buena idea para quien se encuentra en el interior del escáner. Así que cerré los ojos. Fuera como fuese el escáner, seguro que no fue perfecto.
• Incluso la mejor neuroimaginería es solo tan buena como la tecnología actual. Las neuronas disparan cientos de impulsos por segundo, pero la propia señal tarda varios segundos en abrirse, y luego se detiene diez segundos. No es temporalmente precisa. Y la resolución no capta realmente la actividad en la propia neurona. Como decía un artículo de la revista Science: «Utilizar la IRMf para espiar a las neuronas es como utilizar los satélites de la guerra fría para espiar a las personas. Solo es visible la actividad a gran escala».21
• Y luego están los propios investigadores. Han de ser precavidos al interpretar los resultados. Por ejemplo, no deben dar por supuesto que si se ilumina una parte del cerebro, es un elemento esencial para la verificación del proceso mental. En un estudio, los investigadores descubrieron que se activaba el hipocampo cuando los sujetos realizaban un determinado ejercicio, pero los autores de otro estudio observaron que las lesiones del hipocampo no afectaban a la capacidad de los sujetos de realizar el mismo ejercicio. El hipocampo, en efecto, formaba parte de la reacción del cerebro, pero no era una parte necesaria de la reacción.
• Los investigadores tampoco pueden dar por supuesto que si un paciente muestra un comportamiento anormal y los científicos encuentran una lesión, han hallado la causa del comportamiento. Recuerdo una clase de neurología de los cursos de doctorado en que sospechaba que relacionar una determinada conducta con una lesión específica del cerebro era un error. Imaginé que sacaba la tapa trasera de un viejo televisor y empezaba a cortar cables. Si la imagen desaparecía, ¿podría decir con seguridad que había encontrado el «centro de imágenes»? No, porque allí detrás había un montón de cables que podía cortar y provocar que la pantalla se quedara en blanco. Podía cortar la conexión de la antena, y la imagen desaparecería. O podía cortar la entrada de corriente, y la imagen desaparecería. O simplemente podía desenchufar el televisor. Pero ¿alguna de esas partes del aparato sería el centro de imágenes? No, porque la imagen no depende de una causa concreta sino de una serie de causas, todas interdependientes. Y esta es precisamente la conclusión sobre el cerebro a la que los investigadores han empezado a llegar en los últimos años: la de que muchas funciones no dependen solo de una fuente específica, sino de redes a gran escala.
Así pues, si el lector oye decir que la IRMf puede desvelar las preferencias políticas de las personas o cómo reaccionan a la publicidad o si mienten, no se lo crea. La ciencia no ha llegado aún, ni mucho menos, a este nivel de sofisticación, y es posible que nunca lo haga.